時間・品質・価格重視、3Dデジタル技術で白く美しい口元へ
パーフェクト歯科は韓国の芸能人や日本人が多数通う、ホワイトニングが得意な審美歯科です。
開院15年以上の豊富な経験と実績があり国家公認特許も取得、ソ・ジェヒョン院長は韓国歯科医ラミネート部門TOP100に選ばれたほどの高い技術を持っています。
ラミネート以外にもインプラント・インビザライン・ホワイトニング・歯茎治療など、様々なメニューがそろっているのでお口の悩みをまとめて解消可能です。
3Dデジタル機器を使った精密検査を実施しているので、歯の状態や骨格に合わせた適切な治療計画を提案してもらえますよ。
ラミネートやセラミック治療でホワイトニングが無料になるなど、様々なキャンペーンの開催もあるのでぜひチェックしてみてください。
開院15年以上の豊富な経験と実績があり国家公認特許も取得、ソ・ジェヒョン院長は韓国歯科医ラミネート部門TOP100に選ばれたほどの高い技術を持っています。
ラミネート以外にもインプラント・インビザライン・ホワイトニング・歯茎治療など、様々なメニューがそろっているのでお口の悩みをまとめて解消可能です。
3Dデジタル機器を使った精密検査を実施しているので、歯の状態や骨格に合わせた適切な治療計画を提案してもらえますよ。
ラミネートやセラミック治療でホワイトニングが無料になるなど、様々なキャンペーンの開催もあるのでぜひチェックしてみてください。
診療時間
| 月 | 火 | 水 | 木 | 金 | 土 | 日 | |
|---|---|---|---|---|---|---|---|
|
午前
|
午前
10:00
~
13:00
|
午前
10:00
~
13:00
|
午前
10:00
~
13:00
|
午前
10:00
~
13:00
|
午前
10:00
~
13:00
|
午前
10:00
~
13:00
|
休診
|
|
午後
|
午後
14:00
~
19:00
|
午後
14:00
~
20:30
|
午後
14:00
~
20:30
|
午後
14:00
~
19:00
|
午後
14:00
~
19:00
|
午後
14:00
~
16:00
|
休診
|
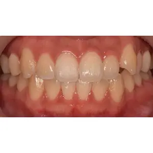
ビフォーアフター
医師紹介
ソ・ジェヒョン医師
2017年パーフェクト歯科創設
2022年ラミネート部門大韓民国100大名の選定
インビザライン認定
大韓審美歯科学会正会員
大韓歯周科学会正会員
大韓口腔顎顔面インプラント学会正会員
2009 ミアソウルチョンダムクリニック院長
2010 サムスンプラス歯科 代表院長
2010~2017 ボストンソウル歯科創立代表院長
2017 パーフェクト歯科宣陵店 代表院長
2018 パーフェクト歯科江南店 代表院長
クリニックの詳細情報
基本情報
| 店名 | パーフェクト歯科 |
|---|---|
| ジャンル | 歯科 |
| 都市名 | ソウル (ソウル特別市/韓国)江南区 |
| 所在地 | 서울특별시 강남구 테헤란로4길 5, 4층 |
| 空港から アクセス |
■仁川国際空港 第1旅客ターミナル 4B乗り場6020番→江南駅下車 ■仁川国際空港 第2旅客ターミナル 地下1階乗り場6020番→江南下車 ■金浦空港 9号線 金浦空港駅~シンノンヒョン駅下車 バス1700・7007・9303・2000番シンノンヒョンバス停~サムソン・ソチョ・ヨクサム税務署下車徒歩1分 |
| 地下鉄から アクセス |
江南駅1番出口より徒歩2分 |
| 営業時間 | AM:月~土-10:00-13:00 PM 月木金14:00‐19:00/火水14:00‐20:30/土14:00‐16:00 |
| 休業日 | 日曜、韓国の祝日 |
| 日本語 | 専任通訳アテンドあり |
| 予約・ お問い合わせ先 |
公式LINE |
口コミ(1件)
みみまるさん
5.0
ホワイトニングとクリーニングでパーフェクト歯科に通いました。受付スタッフの対応が非常に丁寧で、初めての訪問でもリラックスできました。担当の先生は、施術の前に詳しい説明をしてくれたので、不安なく受けることができました。施術後の結果には大満足で、歯が明るくなり、友人にも褒められました!院内はとても清潔で、落ち着いた雰囲気が良かったです。また定期的に通いたいと思います。
RECOMMENDこちらもオススメ
ル歯科
カンナムにあるル歯科はひとりひとりに合った治療を提供するオーダーメイド審美歯科です。
白を基調に温かみのある木目をプラスしたデザインの院内はリラックスして治療が受けられる空間になっています。
ガラス張りの治療室からはカンナムの街が楽しめます。
1DAYインプラント・オールセラミック・無削除ラミネート・ホワイトニング・歯列矯正・インビザラインなど様々な治療に対応。
来院可能日数などから治療内容やスケジュールも考慮してもらえます。
ハイクオリティの最新治療なのに価格がお手頃。世界中から患者が訪れているので早めの予約がおすすめです。
ミソラウム歯科医院
ミソラウム歯科医院は、待ち時間から診療中まで完全個室のプライベート空間でご案内する歯科クリニックです。
周囲の目を気にせず、落ち着いて治療に専念できる環境を整えています。
院名の由来でもある「笑顔(ミソ)」と「空間(ラウム)」の通り、清潔感と居心地の良さにこだわった院内設計も特徴のひとつ。初めての方でも安心して通える雰囲気づくりを大切にしています。
10年以上の臨床経験と最新技術を活かし、ホワイトニング、インプラント、ラミネート、虫歯治療まで幅広く対応。
機能面と見た目の両立を重視し「長く安心して任せられる治療」を提供しています。
短期間で結果を出したい方には、1Dayホワイトニングで1回の来院で3照射が可能なメニューも用意。スピード・仕上がり・プライバシー、すべてにこだわりたい方に選ばれている歯科医院です。
グリーンモール歯科
韓国インプラント界のパイオニアと言われるキ・ファヨン院長は、37年の治療経験を活かし無駄に削らない・抜かない治療で歯を守りながら美しく整える技術を持っています。
骨の不足による難症と判断され治療を断られたケースでも、グリーンモール歯科で治療が完了した実績もあるほどです。
ホワイトニングでは、ただ白いだけじゃなく歯の形・隙間・色ムラまで調整することで、笑ったときの印象をガラッと変えるラミネート施術の人気が高いです。
江南エリアのシンサ駅から徒歩3分の好立地にあるため、旅行ついでに世界各国から患者が訪れています。
一般歯科やスケーリング・表情じわ改善のスキンボトックスにも対応しているので、気になることがあればぜひカウンセリングを受けてみてください。
口コミ(1件)
みみまるさん
5.0
ホワイトニングとクリーニングでパーフェクト歯科に通いました。受付スタッフの対応が非常に丁寧で、初めての訪問でもリラックスできました。担当の先生は、施術の前に詳しい説明をしてくれたので、不安なく受けることができました。施術後の結果には大満足で、歯が明るくなり、友人にも褒められました!院内はとても清潔で、落ち着いた雰囲気が良かったです。また定期的に通いたいと思います。
| 都市名 | ソウル (ソウル特別市/韓国)江南区 |
|---|---|
| 所在地 | 서울특별시 강남구 테헤란로4길 5, 4층 |
| 空港から アクセス |
■仁川国際空港 第1旅客ターミナル 4B乗り場6020番→江南駅下車 ■仁川国際空港 第2旅客ターミナル 地下1階乗り場6020番→江南下車 ■金浦空港 9号線 金浦空港駅~シンノンヒョン駅下車 バス1700・7007・9303・2000番シンノンヒョンバス停~サムソン・ソチョ・ヨクサム税務署下車徒歩1分 |
| 地下鉄から アクセス |
江南駅1番出口より徒歩2分 |
| 駐車場 | 30分無料 以降10分毎に2000ウォン |