仕上がりと安心感にこだわる、完全個室のプライベート歯科
ミソラウム歯科医院は、待ち時間から診療中まで完全個室のプライベート空間でご案内する歯科クリニックです。
周囲の目を気にせず、落ち着いて治療に専念できる環境を整えています。
院名の由来でもある「笑顔(ミソ)」と「空間(ラウム)」の通り、清潔感と居心地の良さにこだわった院内設計も特徴のひとつ。初めての方でも安心して通える雰囲気づくりを大切にしています。
10年以上の臨床経験と最新技術を活かし、ホワイトニング、インプラント、ラミネート、虫歯治療まで幅広く対応。
機能面と見た目の両立を重視し「長く安心して任せられる治療」を提供しています。
短期間で結果を出したい方には、1Dayホワイトニングで1回の来院で3照射が可能なメニューも用意。スピード・仕上がり・プライバシー、すべてにこだわりたい方に選ばれている歯科医院です。
周囲の目を気にせず、落ち着いて治療に専念できる環境を整えています。
院名の由来でもある「笑顔(ミソ)」と「空間(ラウム)」の通り、清潔感と居心地の良さにこだわった院内設計も特徴のひとつ。初めての方でも安心して通える雰囲気づくりを大切にしています。
10年以上の臨床経験と最新技術を活かし、ホワイトニング、インプラント、ラミネート、虫歯治療まで幅広く対応。
機能面と見た目の両立を重視し「長く安心して任せられる治療」を提供しています。
短期間で結果を出したい方には、1Dayホワイトニングで1回の来院で3照射が可能なメニューも用意。スピード・仕上がり・プライバシー、すべてにこだわりたい方に選ばれている歯科医院です。
診療時間
| 月 | 火 | 水 | 木 | 金 | 土 | 日 | |
|---|---|---|---|---|---|---|---|
|
午前
|
午前
10:00
~
13:00
|
午前
10:00
~
13:00
|
午前
10:00
~
13:00
|
午前
13:00
~
|
午前
10:00
~
13:00
|
午前
10:00
~
|
休診
|
|
午後
|
午後
14:00
~
19:00
|
午後
14:00
~
21:00
|
午後
14:00
~
19:00
|
午後
~
21:00
|
午後
14:00
~
19:00
|
午後
~
14:00
|
休診
|
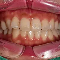
ビフォーアフター
医師紹介
パク ノミン医院長
統合歯医学科 専門医
・統合歯医学科 専門医
・大韓補綴学会 優秀補綴医師
・ATC Advanced Implant Course 修了
・ATC 審美補綴コース修了
・(前)IDEN歯科医院 代表院長
クリニックの詳細情報
基本情報
| 店名 | ミソラウム歯科医院 |
|---|---|
| ジャンル | 歯科 |
| 所在地 | ソウル特別市 瑞草区 江南大路 375、3階 302号~307号(서울 서초구 강남대로 375 3층 302호~307호) |
| 地下鉄から アクセス |
地下鉄2号線・盆唐線 江南駅6番出口から徒歩1分 |
| 営業時間 | 【月・水・金】10:00~19:00(最終受付:3回照射17:30/2回照射18:00) 【火】10:00~21:00(最終受付:照射回数関係なしに19:30) 【木】13:00~21:00(最終受付:照射回数関係なしに19:30) 【土】10:00~14:00(最終受付:照射回数関係なしに12:00) ※土曜日は隔週営業(詳細は公式Xよりご確認ください) ※昼休み:13~14時 |
| 休業日 | 日曜・韓国の祝日 |
| 予約・ お問い合わせ先 |
公式LINE |
RECOMMENDこちらもオススメ
グリーンモール歯科
韓国インプラント界のパイオニアと言われるキ・ファヨン院長は、37年の治療経験を活かし無駄に削らない・抜かない治療で歯を守りながら美しく整える技術を持っています。
骨の不足による難症と判断され治療を断られたケースでも、グリーンモール歯科で治療が完了した実績もあるほどです。
ホワイトニングでは、ただ白いだけじゃなく歯の形・隙間・色ムラまで調整することで、笑ったときの印象をガラッと変えるラミネート施術の人気が高いです。
江南エリアのシンサ駅から徒歩3分の好立地にあるため、旅行ついでに世界各国から患者が訪れています。
一般歯科やスケーリング・表情じわ改善のスキンボトックスにも対応しているので、気になることがあればぜひカウンセリングを受けてみてください。
ル歯科
カンナムにあるル歯科はひとりひとりに合った治療を提供するオーダーメイド審美歯科です。
白を基調に温かみのある木目をプラスしたデザインの院内はリラックスして治療が受けられる空間になっています。
ガラス張りの治療室からはカンナムの街が楽しめます。
1DAYインプラント・オールセラミック・無削除ラミネート・ホワイトニング・歯列矯正・インビザラインなど様々な治療に対応。
来院可能日数などから治療内容やスケジュールも考慮してもらえます。
ハイクオリティの最新治療なのに価格がお手頃。世界中から患者が訪れているので早めの予約がおすすめです。
パーフェクト歯科
1件
パーフェクト歯科は韓国の芸能人や日本人が多数通う、ホワイトニングが得意な審美歯科です。
開院15年以上の豊富な経験と実績があり国家公認特許も取得、ソ・ジェヒョン院長は韓国歯科医ラミネート部門TOP100に選ばれたほどの高い技術を持っています。
ラミネート以外にもインプラント・インビザライン・ホワイトニング・歯茎治療など、様々なメニューがそろっているのでお口の悩みをまとめて解消可能です。
3Dデジタル機器を使った精密検査を実施しているので、歯の状態や骨格に合わせた適切な治療計画を提案してもらえますよ。
ラミネートやセラミック治療でホワイトニングが無料になるなど、様々なキャンペーンの開催もあるのでぜひチェックしてみてください。
ホワイトニングとクリーニングでパーフェクト歯科に通いました。受付スタッフの対応が非常に丁寧で、初めての訪問でもリラックスできました。担当の先生は、施術の前に詳しい説明をしてくれたので、不安なく受けることができました。施術後の結果には大満足で、歯が明るくなり、友人にも褒められました!院内はとても清潔で、落ち着いた雰囲気が良かったです。また定期的に通いたいと思います。
| 所在地 | ソウル特別市 瑞草区 江南大路 375、3階 302号~307号(서울 서초구 강남대로 375 3층 302호~307호) |
|---|---|
| 地下鉄から アクセス |
地下鉄2号線・盆唐線 江南駅6番出口から徒歩1分 |