ル歯科

le:dental clinic

新論峴駅(シンノンヒョン)駅 4番出口徒歩1分
審美歯科
審美歯科
審美歯科
審美歯科

世界中から大人気!過剰治療なしのオーダーメイド審美歯科

カンナムにあるル歯科はひとりひとりに合った治療を提供するオーダーメイド審美歯科です。
白を基調に温かみのある木目をプラスしたデザインの院内はリラックスして治療が受けられる空間になっています。
ガラス張りの治療室からはカンナムの街が楽しめます。
1DAYインプラント・オールセラミック・無削除ラミネート・ホワイトニング・歯列矯正・インビザラインなど様々な治療に対応。
来院可能日数などから治療内容やスケジュールも考慮してもらえます。
ハイクオリティの最新治療なのに価格がお手頃。世界中から患者が訪れているので早めの予約がおすすめです。
無料カウンセリングはこちら!

診療時間

 
午前
午前
10:00 13:00
午前
10:00 13:00
午前
10:00 13:00
午前
10:00 13:00
午前
10:00 13:00
午前
10:00 17:00
休診
午後
午後
14:00 19:00
午後
14:00 19:00
午後
14:00 19:00
午後
14:00 21:00
午後
14:00 19:00
午後 休診
休診

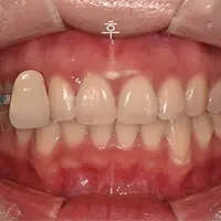
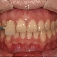
ビフォーアフター

ホワイトニング BEFORE ホワイトニング AFTER
ホワイトニング
ラミネート BEFORE ラミネート AFTER
ラミネート
ラミネート BEFORE ラミネート AFTER
ラミネート
歯茎治療 BEFORE 歯茎治療 AFTER
歯茎治療

医師紹介

ソン・スンユン
ソン・スンユン

学歴・資格
– 韓国保健福祉部 認定 歯科医師
– 釜山大学 歯科大学 歯学士(首席卒業)
– 釜山大学 歯科大学 総合歯科学課程 修了
– 梨花女子大学 モクドン病院 一般歯科研修医 修了

認定・修了課程
– ボストン大学 歯学部 高度インプラント課程 修了
– ペンシルベニア大学 微細根管治療課程 修了
– ソウル大学 高度インプラント課程 修了
– カヤ補綴(ほてつ)コース 修了
– オステムインプラント 高度課程 修了
– CRID 上顎洞挙上術(サイナスリフト)コース 修了

所属学会
– 大韓口腔顎顔面インプラント学会 正会員
– 大韓顎顔面レーザー歯科学会 正会員
– 大韓保存歯科学会 正会員
– 大韓補綴歯科学会 正会員

チャン・ホンイク
チャン・ホンイク

学歴・資格
– 韓国保健福祉部 認定 歯科医師
– 韓国保健福祉部 認定 矯正歯科専門医
– 圓光(ウォングァン)大学 歯科大学 歯学士

– 圓光大学 サンボン病院 矯正歯科研修医 修了
– 圓光大学 歯科大学 歯学博士


所属学会
– 大韓矯正歯科学会 正会員
– 大韓舌側矯正学会 正会員

チョ・ウナン
チョ・ウナン

学歴・資格
– 韓国保健福祉部 認定 補綴歯科専門医
– 韓国保健福祉部 認定 総合歯科専門医
– 米国 イリノイ大学 アーバナ・シャンペーン校 学士
– 慶熙(キョンヒ)大学 歯科大学 歯学修士
– 慶熙大学 歯科大学 歯学博士課程 履修
– 慶熙大学 歯科病院 補綴科 インターン研修医 修了

受賞歴・認定
– 大韓補綴歯科学会 優秀論文賞 受賞
– 慶熙大学 歯科病院 優秀研修医賞 受賞
– 大韓審美歯科学会 チョンゴク賞(大賞)受賞

所属学会・役職
– 大韓審美歯科学会 認定医・正会員・理事
– 大韓補綴歯科学会 認定医・正会員
– 慶熙大学 歯科大学 非常勤教授
– オステム OIC マスターコース 専任講師

クリニックの詳細情報

基本情報

店名 ル歯科
ジャンル 歯科
所在地 ソウル市江南区奉恩寺-108 GLASTONビル9階 Seoul, Korea
地下鉄から
アクセス
地下鉄9号線/新盆唐線 新論峴駅(シンノンヒョン)駅 4番出口徒歩1分
地下鉄2号線 江南(カンナム)駅11番出口徒歩10分
営業時間 平日:10:00〜19:00(お昼休憩 13:00〜14:00)
木曜夜間診療:10:00〜21:00(お昼休憩 13:00〜14:00)
土曜:10:00〜17:00(お昼休憩なし)
休業日 日曜・祝日
日本語 可能
予約・
お問い合わせ先
公式LINE

RECOMMENDこちらもオススメ

ミソラウム歯科医院
歯科 江南
ミソラウム歯科医院
ミソラウム歯科医院は、待ち時間から診療中まで完全個室のプライベート空間でご案内する歯科クリニックです。 周囲の目を気にせず、落ち着いて治療に専念できる環境を整えています。 院名の由来でもある「笑顔(ミソ)」と「空間(ラウム)」の通り、清潔感と居心地の良さにこだわった院内設計も特徴のひとつ。初めての方でも安心して通える雰囲気づくりを大切にしています。 10年以上の臨床経験と最新技術を活かし、ホワイトニング、インプラント、ラミネート、虫歯治療まで幅広く対応。 機能面と見た目の両立を重視し「長く安心して任せられる治療」を提供しています。 短期間で結果を出したい方には、1Dayホワイトニングで1回の来院で3照射が可能なメニューも用意。スピード・仕上がり・プライバシー、すべてにこだわりたい方に選ばれている歯科医院です。
グリーンモール歯科
歯科 江南
グリーンモール歯科
韓国インプラント界のパイオニアと言われるキ・ファヨン院長は、37年の治療経験を活かし無駄に削らない・抜かない治療で歯を守りながら美しく整える技術を持っています。 骨の不足による難症と判断され治療を断られたケースでも、グリーンモール歯科で治療が完了した実績もあるほどです。 ホワイトニングでは、ただ白いだけじゃなく歯の形・隙間・色ムラまで調整することで、笑ったときの印象をガラッと変えるラミネート施術の人気が高いです。 江南エリアのシンサ駅から徒歩3分の好立地にあるため、旅行ついでに世界各国から患者が訪れています。 一般歯科やスケーリング・表情じわ改善のスキンボトックスにも対応しているので、気になることがあればぜひカウンセリングを受けてみてください。
パーフェクト歯科
歯科 江南
パーフェクト歯科
5.0
1
パーフェクト歯科は韓国の芸能人や日本人が多数通う、ホワイトニングが得意な審美歯科です。 開院15年以上の豊富な経験と実績があり国家公認特許も取得、ソ・ジェヒョン院長は韓国歯科医ラミネート部門TOP100に選ばれたほどの高い技術を持っています。 ラミネート以外にもインプラント・インビザライン・ホワイトニング・歯茎治療など、様々なメニューがそろっているのでお口の悩みをまとめて解消可能です。 3Dデジタル機器を使った精密検査を実施しているので、歯の状態や骨格に合わせた適切な治療計画を提案してもらえますよ。 ラミネートやセラミック治療でホワイトニングが無料になるなど、様々なキャンペーンの開催もあるのでぜひチェックしてみてください。
ホワイトニングとクリーニングでパーフェクト歯科に通いました。受付スタッフの対応が非常に丁寧で、初めての訪問でもリラックスできました。担当の先生は、施術の前に詳しい説明をしてくれたので、不安なく受けることができました。施術後の結果には大満足で、歯が明るくなり、友人にも褒められました!院内はとても清潔で、落ち着いた雰囲気が良かったです。また定期的に通いたいと思います。
目次