最新デジタル技術やPDRNも導入、時代を先駆けるヨンセファミエ歯科
ヨンセファミエ歯科はホンデにある開院10年の実績ある美容歯科です。
補綴専門医・矯正専門医・歯内療法専門医の3名による専門医チームが組まれていて、セラミック治療・歯科矯正・審美歯科治療ごとの専門医制となっています。
3D CT・スキャナーなどの最新設備を導入。
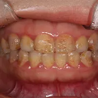
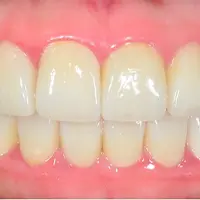
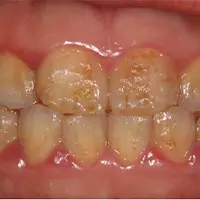
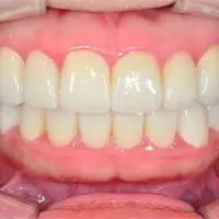
ホワイントニングを希望する場合は、歯茎の回復を助ける成分PDRNも追加できます。白い歯とピンクの歯茎でバランスが整い美しい口元の演出が可能です。
また、難易度の高い根管治療や歯の再生医療にも対応しています。明らかに状態が悪い場合にもおすすめできる美容歯科です。
補綴専門医・矯正専門医・歯内療法専門医の3名による専門医チームが組まれていて、セラミック治療・歯科矯正・審美歯科治療ごとの専門医制となっています。
3D CT・スキャナーなどの最新設備を導入。
ホワイントニングを希望する場合は、歯茎の回復を助ける成分PDRNも追加できます。白い歯とピンクの歯茎でバランスが整い美しい口元の演出が可能です。
また、難易度の高い根管治療や歯の再生医療にも対応しています。明らかに状態が悪い場合にもおすすめできる美容歯科です。
診療時間
| 月 | 火 | 水 | 木 | 金 | 土 | 日 | |
|---|---|---|---|---|---|---|---|
|
午前
|
午前
10:00
~
13:00
|
午前
10:00
~
13:00
|
午前
10:00
~
13:00
|
午前
休診
|
午前
10:00
~
13:00
|
午前
10:00
~
14:00
|
休診
|
|
午後
|
午後
14:00
~
18:30
|
午後
14:00
~
18:30
|
午後
14:00
~
18:30
|
午後
14:00
~
21:00
|
午後
14:00
~
18:30
|
午後
休診
|
休診
|
ビフォーアフター
医師紹介
ぺ・ジンヒョク院長
歯科補綴科 専門医
延世大学 歯科大学 卒業
延世大学校 新村セブランス病院 補綴科 修了
延世大学校 大学院 歯学修士号 取得
大韓補綴歯科学会 正会員
大韓審美歯科学会 正会員
大韓顎関節学会 正会員
UCLA(カリフォルニア大学ロサンゼルス校)先進補綴科 externship 修了
前)延世大学 歯科大学補綴学科 外来講師
イ・ホンヒ院長
保健福祉部 認定 歯科矯正科 専門医
新村セブランス歯科 矯正科 レジデント修了
保健福祉部 認定 歯科矯正科 専門医 取得
大韓歯科矯正学会 認定医 取得
大韓歯科矯正学会 正会員
延世大学 歯科大学 病院長賞 受賞・卒業
イ・シネ院長
歯科保存科 専門医
延世大学 歯科大学 卒業
延世大学校 大学院 歯学修士号 取得
延世大学校 江南セブランス病院 補綴科 修了
延世大学校 新村セブランス病院 補綴科 レジデント修了
大韓補綴歯科学会 正会員
大韓審美歯科学会 正会員
クリニックの詳細情報
基本情報
| 店名 | ヨンセファミエ歯科 |
|---|---|
| ジャンル | 歯科 |
| 都市名 | ソウル特別市 |
| 所在地 | 151 Yanghwa-ro, Mapo-gu, Seoul, 韓国 |
| 地下鉄から アクセス |
地下鉄ホンデ入口駅1番出口徒歩1分 |
| 営業時間 | 平日:10:00-18:30(お昼休憩13:00-:14:00) 木曜:14:00-21:00 土曜:10:00-14:00(お昼休憩なし) |
| 休業日 | 日曜・祝日 |
| 支払い方法 | 現金・カード決済 |
| 予約・ お問い合わせ先 |
公式LINE |
RECOMMENDこちらもオススメ
ル歯科
カンナムにあるル歯科はひとりひとりに合った治療を提供するオーダーメイド審美歯科です。
白を基調に温かみのある木目をプラスしたデザインの院内はリラックスして治療が受けられる空間になっています。
ガラス張りの治療室からはカンナムの街が楽しめます。
1DAYインプラント・オールセラミック・無削除ラミネート・ホワイトニング・歯列矯正・インビザラインなど様々な治療に対応。
来院可能日数などから治療内容やスケジュールも考慮してもらえます。
ハイクオリティの最新治療なのに価格がお手頃。世界中から患者が訪れているので早めの予約がおすすめです。
ミソラウム歯科医院
ミソラウム歯科医院は、待ち時間から診療中まで完全個室のプライベート空間でご案内する歯科クリニックです。
周囲の目を気にせず、落ち着いて治療に専念できる環境を整えています。
院名の由来でもある「笑顔(ミソ)」と「空間(ラウム)」の通り、清潔感と居心地の良さにこだわった院内設計も特徴のひとつ。初めての方でも安心して通える雰囲気づくりを大切にしています。
10年以上の臨床経験と最新技術を活かし、ホワイトニング、インプラント、ラミネート、虫歯治療まで幅広く対応。
機能面と見た目の両立を重視し「長く安心して任せられる治療」を提供しています。
短期間で結果を出したい方には、1Dayホワイトニングで1回の来院で3照射が可能なメニューも用意。スピード・仕上がり・プライバシー、すべてにこだわりたい方に選ばれている歯科医院です。
グリーンモール歯科
韓国インプラント界のパイオニアと言われるキ・ファヨン院長は、37年の治療経験を活かし無駄に削らない・抜かない治療で歯を守りながら美しく整える技術を持っています。
骨の不足による難症と判断され治療を断られたケースでも、グリーンモール歯科で治療が完了した実績もあるほどです。
ホワイトニングでは、ただ白いだけじゃなく歯の形・隙間・色ムラまで調整することで、笑ったときの印象をガラッと変えるラミネート施術の人気が高いです。
江南エリアのシンサ駅から徒歩3分の好立地にあるため、旅行ついでに世界各国から患者が訪れています。
一般歯科やスケーリング・表情じわ改善のスキンボトックスにも対応しているので、気になることがあればぜひカウンセリングを受けてみてください。
| 都市名 | ソウル特別市 |
|---|---|
| 所在地 | 151 Yanghwa-ro, Mapo-gu, Seoul, 韓国 |
| 地下鉄から アクセス |
地下鉄ホンデ入口駅1番出口徒歩1分 |